-혈관 터지면 뇌출혈, 파열 전 수술 치료로 95% 이상 개선 가능
![]() |
| ▲강동경희대병원 뇌신경센터 신경외과 고준석 교수 |
뇌혈관이 풍선처럼 비정상적으로 크게 부풀어오르는 뇌동맥류 환자가 급증하고 있다. 건강보험심사평가원에 의하면 뇌동맥류 환자가 2014년 5만529명에서 2018년 9만8166명으로 약 94% 증가했다. 5년 새 두 배로 늘어난 셈이다.
뇌동맥류는 병이 진행되는 동안 특별한 증상이 없어 알아채기 어려운데, 결국 뇌혈관을 파열시켜 사망 위험을 높이고 영구적 후유장애를 일으키므로 '뇌 속 시한폭탄’이라 불린다. 뇌동맥류는 무엇이며 예방 및 치료법은 무엇인지 강동경희대병원 뇌신경센터 신경외과 고준석 교수의 도움말로 알아봤다.
◆뇌혈관이 풍선처럼 부풀며 비정상적 공간 생성
뇌동맥류는 뇌혈관 벽이 부풀어 혈관 외부로 비정상적인 공간(꽈리)을 형성하는 병이다. 뇌동맥류의 원인은 아직 명확하게 밝혀지지 않았다. 이에 고준석 교수는 “의학계에서는 혈관벽 내에 미세한 균열이 발생하기 때문으로 추정한다. 선천적인 혈관벽 질환, 혈관 손상을 일으키는 대사 질환 및 생활습관(특히 고혈압과 흡연) 등이 위험인자로 보고되고 있다”고 설명했다. 최근 뇌동맥류가 늘어나는 이유는 명확하지 않지만, 조기검진이 활성화되며 뇌동맥류를 발견하는 사람이 늘어나는 이유가 원인 중 하나로 꼽히고 있다.
![]() |
| ▲ |
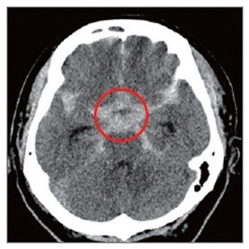
뇌동맥류로 인해 부풀어 오른 혈관이 터지면 뇌출혈이 생긴다. 이 경우 사망 위험이 크게 증가하고 뇌에 영구적 손상이 가해져 언어장애, 운동장애 등이 유발된다.
뇌동맥류 파열은 혈압으로 인한 뇌압 상승이 주 원인이다. 따라서 혈압에 영향을 미치는 고혈압, 당뇨병, 고지혈증 등의 질환이 위험인자가 될 수 있다. 혈압을 높이는 음주, 비만, 흡연 등의 생활습관도 마찬가지다. 또한 갑자기 무거운 물건을 들거나 힘을 줘서 대변을 보는 등 혈압을 높이는 행동도 뇌동맥류 파열 위험을 높인다. 같은 이유로 격렬한 운동, 기침 등도 위험인자가 될 수 있다.
◆증상 없어도 정기검진 해야 조기발견 가능
뇌동맥류 파열을 막기 위해서는 정기검진을 통한 조기발견 및 치료가 필수다. 이에 고준석 교수는 “뚜렷한 증상이 없더라도 고혈압 등 혈압과 연관된 질환, 뇌동맥류 가족력 등이 있다면 정기검진을 하는 것이 좋다”고 당부했다.
검사는 주로 뇌혈관 CT(CTA), 뇌혈관 MRI(MRA) 검사, 뇌혈관조영술 등으로 한다. 파열 전 증상으로 주로 둔기로 맞은 듯한 극심한 두통, 뒷목이 뻣뻣해지는 증상, 구토 등이 있을 수 있고 심한 경우 마비, 의식소실, 호흡마비 등이 나타난다. 따라서 한 번도 겪어보지 못한 두통 등이 있다면 즉시 병원을 찾아야 하고 때로는 드물지만 감기증상처럼 가벼운 두통이 수 일간 지속될 수 도 있기 때문에 유의해야 한다.
![]() |
| ▲ |
뇌동맥류를 파열 전 발견해 치료하면 95% 이상에서 좋은 결과가 나타난다. 치료는 주로 ‘클립결찰술’과 코일색전술’로 이뤄진다. 클립결찰술은 이마 부위 두개골을 열고 클립 같은 고정 핀으로 부풀어 오른 뇌동맥류를 졸라매는 수술법이다. 코일색전술은 머리를 절개하지 않고 사타구니에 있는 대퇴동맥을 통해 뇌동맥에 가느다란 도관을 넣은 뒤 뇌동맥류 내부를 백금 등으로 만들어진 특수 코일로 채워 막는 방식이다. 뇌수술이 어렵거나 직접수술이 위험성이 큰 환자에게 적합하다.
◆실내 운동, 생활습관 개선으로 뇌동맥류 예방해야
뇌동맥류를 예방하기 위해서는 관련 요인으로 꼽히는 고혈압, 당뇨, 고지혈증, 과 같은 질병과 흡연, 스트레스, 운동부족 등 생활습관을 철저히 관리해야한다. 이를 위해서는 여름철이라고 움직이지 않기보다는 실내 운동을 통해 꾸준한 운동량을 유지해주는 것이 좋다. 또한, 여름철 시원한 맥주 한 잔 하는 경우처럼 음주 등이 증가하기 쉬운데, 되도록 금주와 금연을 실천해야 한다. [세계타임즈 조원익 기자]
[저작권자ⓒ 부산세계타임즈. 무단전재-재배포 금지]














































