
[세계타임즈 심귀영 기자]인간과 오랑우탄의 가장 큰 차이점은 뭘까? 말을 할 줄 알고 도구를 사용하는 것보다 더 근원적인 차이점이 있다. 바로 인간은 두발로 걸어다닌다는 점이다. 이 점은 사람과 동물의 가장 큰 차이점을 낳았다. 두 손이 자유로워진 인간은 비로소 도구를 사용할 수 있게 되었고 자기보다 큰 동물들을 사냥하면서 무리를 유지할 수 있게 되었다.
실제 세계 최고 권위의 과학저널 네이처(Nature)를 살펴보면 직립보행 이전 원시인류의 엄지발가락은 매우 컸고 다른 발가락들과 마주잡을 수 있는 구조였다. 그러나 최초의 직립보행 인류로 알려진 오스트랄로피테쿠스 아파렌시스(Australopithecus afarensis)의 엄지발가락은 현존 인류처럼 다른 발가락과 평행을 이루며 전방을 향하게 변화되고, 보행 시 체중의 60%를 지탱해 주어 비로소 직립 보행이 실현된 것이다.
즉 인간과 오랑우탄을 나누는 가장 근원적인 차이점이 바로 이 발에 있다고 해도 과언이 아니다. 그러나 우리의 발은 늘 푸대접을 받는다. 하루 종일 온 몸을 지탱하며 걷고 서있게 해주지만 땀이 차고 냄새가 쉽게 난다는 이유로 더러운 취급을 받는다. 건강의 중요도로 따져도 늘 후순위로 밀려나 있다. 하지만 발이 삶에 얼마나 중요한 영향을 끼치고 있는지는 이상이 생겨야 비로소 알게 된다.

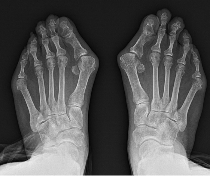
그 대표적인 예로 무지외반증을 꼽을 수 있다. 무지외반증 이란 엄지발가락이 새끼발가락 방향으로 휘며 엄지발가락이 시작되는 관절의 뼈가 돌출되는 질환이다.
유전적 요인과 함께, 폭이 좁은 신발을 오래 신는 등 후천적인 요인이 영향을 미친다. 특히 최근 고령화가 가속화되며 환자가 증가하고 있는데, 건강보험심사평가원 의료정보 공개에 따르면 지난 3년간 약 18만 3000여명이 치료를 위해 병원을 찾았다.
무지외반증을 포함한 족부 질환 치료에 오랜 기간 매진해온 연세건우병원 박의현 병원장(정형외과 전문의)은 “무지외반증은 필연적으로 보행의 불균형을 유발한다. 정상인은 보행 시 엄지발가락에 체중의 약 60%가 실리지만 무지외반증 환자는 엄지발가락이 휘어져 있어서 그 반대로 발의 중지나 약지에 몸무게가 쏠려 정상적인 보행이 불가능해진다”고 설명한다.

이에 무지외반증 환자는 무의식적으로 엄지발가락에 체중을 싣지 않고 걷게 돼 필연적으로 발목·무릎·허리에 불필요한 스트레스가 발생, 관절·척추 질환으로 이어질 수 있다. 실제 여성 무릎관절염 환자 중 무지외반증이 동반은 비교적 흔한 편이다.
그래서 무지외반증은 되도록 빨리 치료하면 좋지만 실제로 보행에 큰 지장이 오기 전까지는 방치하는 경우가 대다수다. 오랜기간 방치하게 되면 수술이 필요하게 되는데, 발은 여러 뼈가 얽혀있는 생각보다 복잡한 부위다. 그래서 환자들은 과연 수술 후 발 모양이 정상으로 돌아올지 그리고 통증은 심하지 않은지 걱정하게 된다.
박의현 병원장은 수많은 임상을 통해 이런 환자들의 고민을 해결했다. 보통은 무지외반증 환자에게 고식적 술식을 제안한다. 이중으로 피부를 절개한 뒤 돌출부위를 깍고, 연부조직 봉합에만 의존하는 방식이다. 그러나 이렇게 통증이 심하고 재발위험이 높다.
박 병원장은 돌출 부 내측 한 부위 절개를 통해 교정과정의 부담을 최소화 했다. 변형이 심하거나 양측변형 이라도 엄지뼈를 안으로 밀어 넣어 소위 ‘칼발’로 불리는 교정이 가능하다. 교정이 변형되지 않도록 수술 후 일정기간 핀이나 나사로 고정하는 것으로 수술을 마친다. 수술 과정이 축소되면서 절개창도 기존과 달리 단일화 돼 통증 및 흉터 부담도 최소침습술 만큼 경감됐다.
연세건우병원에서 밝히 지난 6년간 중증 및 양측 무지외반증 환자의 장기 추시 결과에 따르면 사고·부상 등 외상 요인을 모두 포함해도 재발률이 0.5% 미만이다. 또한 고식적인 무지외반증 수술은 통증 점수(VAS)가 7~8점이지만, 단일절개 복합교정술은 통증 점수가 2~3점에 불과하다.
박 병원장은 최근에 수술 기법이 더욱 발달해 환자들의 고충을 한 층 더 덜 수 있게 되었다고 전했다. 그가 말한 새로운 수술 기법은 친환경 신소재‘로 알려진 바이오매스 플라스틱을 활용한 교정 나사의 개발이다. 바이오매스 플라스틱은 물과 이산화탄소로 완전 분해돼 인체와 환경에 무해하다. 때문에 우리 정부와 국내 주요 대기업들 역시 이 친환경 신소재 개발에 박차를 가하고 있다.
박 병원장은 “바이오멜트 교정술에서 활용되는 스크류는 고분자 생체재료다. 독성이 없고 생체적합성이 우수한 생분해성 폴리머다. 비결정 구조로 이뤄져 있어 융해정도를 예측할 수 있고, 강도와 고정력이 우수하다. 뿐만 아니라 환자 개개인의 상태에 맞는 제단이 가능하여 삽입 후 분해될 때 까지 이물감 등으로 불편을 겪을 일도 없다”고 설명했다.
[저작권자ⓒ 부산세계타임즈. 무단전재-재배포 금지]











































